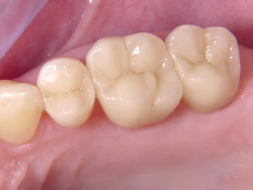
Inlay – stabiler Biss und gleichbleibende Ästhetik
Stabiler Biss durch die funktionelle Gestaltung der Kaufläche im deutschen Meisterlabor
Gleichbleibende Ästhetik durch homogene Keramik mit vergüteter Oberfläche
Perfekter spaltfreier Sitz über Jahrzehnte
Metallfrei, biokompatibel – es sind keine Allergien bekannt
Sie entscheiden sich für mehr Bioverträglichkeit, mehr Funktion, mehr Ästhetik und damit für mehr Zahngesundheit. Wir entfernen alte Füllungen und Karies und bereiten Ihre Zähne für die Inlays vor. Eine Latexabdeckung (Kofferdam) verhindert eine erhöhte Quecksilberbelastung. Nach der Abdrucknahme versorgen wir Ihre Zähne mit Provisorien aus Kunststoff. Das zahntechnische Meisterlabor fertigt innerhalb von 2 Wochen Ihre neuen Inlays (Handarbeit Made in Germany). Dann werden diese Inlays aus Vollkeramik oder Gold fest eingesetzt. Die Keramikinlays stabilisieren den Zahn durch die feste Verklebung des Inlays mit den Zahnwänden. Oft muss er dann nicht überkront werden, und es kann Zahnsubstanz erhalten werden.
Der Kofferdam ist eine elastische Folie, die über den Zahn gezogen wird und diesen so von der Mundhöhle trennt. Damit erreichen wir zwei entscheidende Vorteile für sie: Der Behandlungsbereich wird absolut sicher vor Feuchtigkeit (Speichel) geschützt und zweitens das Amalgam, welches wir sorgfältig aus den Zahn entfernen, fällt nicht in den Mund, sondern es wird in der Gummifolie aufgefangen und kann dort zu 100 Prozent abgesaugt werden (Amalgamschutz).
Porzellaninlay, Inlay aus Vollkeramik
Die Vorteile:
- Gleichbleibende natürliche Ästhetik durch eine langfristig stabile Hochglanzoberfläche
- Keramikinlays sind sehr belastbar, durch die Verklebung werden schwache Zahnwände stabilisiert.
- Metallfrei, biokompatibel – es sind keine Allergien bekannt.
Gold-Inlay
Die Vorteile:
- Besonders haltbar und stabil – Lebensdauer ca. 20 Jahre
- Goldfüllungen können auch beim Knirschen und Pressen nicht brechen.
- Vergütete Oberflächen, glatte Übergänge und optimale Kontaktpunkte zwischen den Zähnen erleichtern die Mundhygiene.
Die Extras:
- Kofferdam; verhindert eine Quecksilberbelastung bei der Entfernung von Amalgam
- Stereomikroskop und hochwertige Materialien garantieren höchste Haltbarkeit

